Author: Matthew T. Wallace, MD, MBA
Description
Chordoma is a slow-growing, destructive, malignant bone cancer that affects the midline of the body, from the skull to the coccyx (tailbone). Chordomas are rare; only about 300 new cases are diagnosed each year in the United States
Symptoms
Patients with chordoma often have deep, achy bone pain that progresses for several months. Tumors that press on nerves or on the spinal cord may cause headaches, difficulty swallowing, numbness or weakness in the arms or legs, or difficulty with bowel, bladder, or sexual function. These symptoms can be nonspecific, so a delay in diagnosis is common and locally advanced disease may be present once the diagnosis is made.
Your orthopaedic surgeon will obtain a full history and physical examination. The timing and nature of your pain, and any associated symptoms are important to your doctor. Examination may or may not reveal a palpable mass or fullness along the spine, but chordomas of the lower spine can commonly be felt on a rectal examination. Your orthopaedic surgeon will perform this examination as part of a general assessment of your spinal nerves and reflexes.
Tests
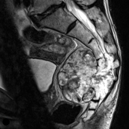
The workup for a suspected chordoma consists of appropriate imaging followed by a biopsy of the tumor to confirm the diagnosis. Chordomas may be difficult to appreciate on plain x-rays, and both computed tomography (CT) and magnetic resonance imaging (MRI) scans are needed to adequately visualize the tumor. Figure 1.
The biopsy of the tumor will be performed by either your surgeon or a radiologist who is a member of the surgeon’s team. If the diagnosis of chordoma is confirmed, the next set of tests will include a staging evaluation to determine if the tumor is localized (early stage), or if the tumor has spread to other parts of the body (advanced stage). This is accomplished with a CT scan from the neck through the pelvis. Occasionally nuclear medicine studies such as a bone scan or PET scan may be obtained.
Images
Figure 1: CT and MRI of a Sacral Chordoma (within red circle).


Treatment
Chordoma is a disease that requires surgery to remove the tumor in its entirety, which is termed a wide resection with negative margins. In many patients this is not always feasible, and your surgeon may enlist the help of a radiation oncologist to perform radiation therapy before or after surgery. There is no known effective chemotherapy for chordoma.
Prognosis
Chordoma can be fatal. Average survival rates are 80% at 3 years, 68% at 5 years, and 39% at 10 years, but this prognosis varies based on the location of the tumor, size of the tumor, whether the tumor can be removed completely, and the patient age at time of diagnosis. Due to the complexity and rarity of this tumor, it is highly recommended that patients with chordoma are treated by an orthopaedic oncologist with experience treating these tumors.
More Information
https://orthoinfo.aaos.org/en/diseases--conditions/chordoma/
https://www.chordomafoundation.org/
https://dceg.cancer.gov/research/clinical-studies/chordoma
This is not intended as a substitute for professional medical advice and does not provide advice on treatments or conditions for individual patients. All health and treatment decisions must be made in consultation with your physician(s), utilizing your specific medical information. Inclusion in this is not a recommendation of any product, treatment, physician or hospital.


