Author: Michael Eckhoff, MD
Description
Cancer that spreads from its original location to other structures in the body is called metastatic cancer. Bones are one of the main locations where cancer can spread, most often to the spine, followed by the pelvis, the thigh bone (femur), and the upper arm bone (humerus). Any cancer can spread to bone; however, certain types are more likely to do so such as breast, lung, thyroid, kidney, and prostate.
When cancer spreads to bones, it disrupts normal cellular activity and can result in increased bone formation (osteoblastic) or bone destruction (osteolytic) lesions. Both of these abnormalities can decrease the integrity of the bone, resulting in weakness and predisposing it to breaking. When bone breaks due to a metastatic lesion it is called a pathologic fracture (Image 1).

Symptoms
- Pain is the most common symptom of metastatic disease involving the bone. This is due to the weakening of the bone. Often it is nonspecific pain at first but can become a constant, aching pain later in the disease process. The pain sometimes becomes so intense that it limits mobility and function. When the spine is involved, it can compress the spinal cord or the nerves as they leave the spine causing electric shock or burning pain that goes down your arms or legs.
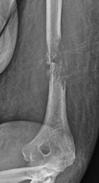
- Bone breaks, called pathologic fractures, can occur if the bone becomes so weak that it fails. These breaks can occur from low-force activities, such as pushing yourself up from a seated position or falling from a standing position. Typically, patients experience a sudden increase in pain and functional limitation when these breaks happen (Image 2).


Examination
Physical examination by your provider may include:
- Feeling and pressing on the areas where bone pain is occurring to see if this re-creates your pain.
- Sensation and motor nerve function to evaluate for possible nerve compression.
- Joint range of motion and special tests to make sure that your pain is not coming from a non-cancer-related reason.
Tests
X-ray is the simplest imaging study used to identify metastatic lesions. When a lesion is present, the bone will demonstrate the abnormal bone formation or destruction process. It can also show if the bone has broken or is close to breaking.
- CT and MRI are advanced imaging studies that provide a better understanding and detail of the lesion, and its bone involvement. These can also determine the presence of soft tissue extension of the metastatic lesion if present.
- Positron Emission Tomography (PET scan) and whole-body bone scans are two additional studies that help identify evidence of bone metastatic disease throughout the whole body in a single imaging study. They help determine if there are metastatic lesions in other locations that may not be symptomatic.
- Blood calcium levels may be measured in a laboratory study, as bone involvement can cause an increase in calcium release into the bloodstream.
Prognosis
Bone metastatic disease is often a sign of more aggressive cancer, however long-term prognosis continues to improve with advances in the treatment of various cancers.
Metastatic bone lesions can be treated with a multitude of options depending on lesion location, size, symptoms, and other cancer-specific factors. Treatment options can include surgery, radiation, chemotherapy, immunotherapy, and bone-reinforcing medications. Early identification is important to prevent fractures. Ultimately, a discussion is needed between you and your provider to determine what is best for you. Due to its complexity, it is highly recommended that patients are treated by an orthopaedic oncologist who has experience with metastatic disease.
More Information:
https://orthoinfo.aaos.org/en/diseases--conditions/metastatic-bone-disease/
https://www.cancer.org/cancer/managing-cancer/advanced-cancer/bone-metastases.html
https://cancer.ca/en/cancer-information/cancer-types/metastatic/bone-metastases
This is not intended as a substitute for professional medical advice and does not provide advice on treatments or conditions for individual patients. All health and treatment decisions must be made in consultation with your physician(s), utilizing your specific medical information. Inclusion in this is not a recommendation of any product, treatment, physician or hospital.


